“妈妈,我的牙好像有个洞!”清晨刷牙时,孩子突然的一句话总能让家长心头一紧。明明前一晚检查牙齿还好好的,怎么一夜之间就冒出了“蛀牙洞”?这种突如其来的“牙齿问题”,其实是很多家庭都会遇到的困惑。不少家长疑惑:难道“蛀牙”是“瞬间出现”的?孩子平时也认真刷牙了,怎么还会中招?今天,我们就来揭开“一夜长蛀牙”的真相,看看这个让家长措手不及的牙洞,到底是怎么来的。
一、为什么感觉是“一夜之间”出现的?
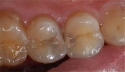
1.“蛀牙”的专业术语称为“龋齿”或“龋病”。龋病是一个缓慢发展的过程:
第一阶段(脱矿):细菌利用食物残渣(尤其是糖分)产生酸性物质,这些酸会慢慢腐蚀牙齿最外层的牙釉质。这个阶段,牙齿表面可能只是出现白色或褐色的斑点,但质地仍然完整,没有实际的“洞”。您通常没有任何感觉。

第二阶段(崩解):腐蚀持续进行,牙釉质这个坚硬的外壳终于支撑不住了,从内部开始坍塌。就像被虫子从内部蛀空的木头,表面看只有一个小点,但内部已经空了。当表面的牙釉质薄到一定程度,在一次正常的咀嚼或刷牙受力下,它就会突然破裂,形成一个您能明显感知到的“洞”。

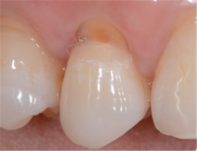
2.位置的欺骗性:
很多龋病发生在牙齿的邻面(牙缝之间)或者后牙的窝沟深处,这些地方肉眼很难直接看到。只有当洞扩大到一定程度,您用舌头才能舔到,或者食物开始塞牙时,您才会“突然”发现它。


二、这个“一夜之间”出现的洞都可能是什么?
虽然绝大多数情况是慢性龋病的最终表现,但也有其他可能性,但相对少见:
1.急性龋(猛性龋):
这是一种发展非常迅速的龋病。常见于:
唾液分泌少的人(如服用某些药物、接受头部放疗后)。
饮食习惯极差的人(频繁摄入高糖饮料、零食)。
婴幼儿奶瓶龋。
即使发展快,它也需要几周或几个月的时间,而非真正的一夜之间。
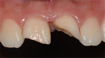
2.牙齿缺损:
楔状缺损
牙齿隐裂或折裂



3.旧的补牙材料脱落:

三、出现龋病应该怎么做?
请立即去看专业口腔医生!
保护好牙齿,定期(每半年到一年)进行口腔检查,可以在龋病还处于“白斑”或浅洞阶段时发现并处理,避免这种“突然袭击”的惊吓和更复杂的治疗。
牙齿从不会“突然长蛀”,那些让家长措手不及的牙洞,都是细菌长期悄悄腐蚀的结果。口腔健康的守护,从来离不开日常的细致呵护——坚持早晚正确刷牙、控制高糖食物和饮料的摄入,更关键的是每半年到一年带孩子到专业口腔医院做一次口腔检查。
让我们从日常小事做起,给孩子的牙齿筑起坚固的“防护墙”,让每一颗小牙齿都能健康陪伴成长,远离“蛀牙”的困扰吧!