很多家长会有一种误解:“乳牙反正要换,坏了不用治。”这是一个非常错误的想法。乳牙牙髓炎绝不仅仅是“牙疼”那么简单,它的危害是连锁式、全身性的,对孩子的生长发育影响深远。
一、对局部口腔健康的危害(直接影响)
1.剧烈疼痛,影响生活
牙髓炎急性发作时,会引发自发性、阵发性剧烈疼痛,尤其夜间疼痛会显著加重,直接导致孩子睡眠质量下降。
2.感染扩散,导致根尖周炎和颌骨感染
牙髓的炎症会顺着根尖孔向牙根下方扩散,引起根尖周炎。如果放任不管,严重情况可能导致颌骨感染。

3.损伤恒牙胚(最严重的后果之一)
乳牙牙根下方埋藏着恒牙的“种子”——恒牙胚,乳牙根尖周的炎症会直接通过组织间隙“攻击”恒牙胚,造成多维度损伤:
·恒牙发育不全
·恒牙形态异常
·阻碍恒牙萌出
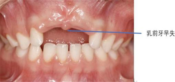
4.乳牙早失诱发错颌畸形
如果牙齿因严重破坏而无法保留被拔除,或者自行脱落过早,旁边的牙齿就会向这个空隙倾斜,导致后继恒牙的萌出空间不足,需要通过矫正来解决这个问题。
5.咀嚼功能受损致面部发育失衡
患牙疼痛导致孩子长期用单侧咀嚼,会使两侧颌面部肌肉得不到均衡锻炼。长期如此,会出现面部左右不对称,影响面部轮廓的正常发育。
二、对全身健康和生活质量的危害
1.影响营养摄入和生长发育
牙痛导致孩子不爱吃饭,尤其是需要咀嚼的肉类、蔬菜和水果。长期如此会造成营养不良,影响身体和智力的正常发育。
2.成为全身感染的“病灶”
口腔内的细菌和毒素可以通过根尖周的感染灶进入血液循环,可能引发远隔器官的疾病,如:低热,肾炎等。
3.影响发音和美观
前牙的缺失或损坏会影响孩子发音的清晰度,也可能因牙齿不好看而被同伴取笑,影响自信心和社交。

三、总结与建议
乳牙不是“临时工”,它们是恒牙健康生长的“领路人”和“空间维持器”。守护乳牙健康,需做到“预防为先、早诊早治”:
1.预防大于治疗:从小培养孩子良好的口腔卫生习惯,定期涂氟、做窝沟封闭,有效预防蛀牙。
2.定期检查是关键:每3-6个月带孩子看一次专业口腔医生,做到早发现、早治疗。
3.切勿拖延:一旦发现孩子有牙疼、牙龈肿包、不爱用一侧吃饭、黑点等情况,应立即就医。
乳牙虽小,牙髓炎的危害却不容小觑。别让“乳牙会换”的误区,给孩子的口腔健康和全身发育埋下隐患。及时关注口腔信号、科学防治牙髓炎,才能让每一颗小牙安稳“履职”,为孩子的成长之路保驾护航!