“现在啃个馒头都费劲,只能喝稀粥、吃煮得软烂的菜,这日子过得太憋屈了!”说起自己的牙,哈尔滨的赵先生满是无奈。?
今年刚过60岁的赵先生,上颌牙早就全掉光了,下颌也只剩几颗松松垮垮的牙,稍微硬点的东西都不敢碰。原本最爱吃的锅包肉、酱骨头,现在只能看别人吃。?
经过多方面咨询的赵先生来到了黑龙江省口腔医院的种植诊疗中心。接诊他的毕庆伟主任用CBCT评估拟种植区骨量、[1]骨质及咬合间距等,又结合口内扫描获取口腔三维数据,经过对口腔的专业检查,快速研判出需重点攻克的挑战:赵先生上颌、下颌种植区域存在重度骨量缺损问题,按照无牙颌种植牙方案设计,拟种植位置必须精准,种植牙的位置误差尽量最低,才能保障种植牙的长期稳定使用,这样的精确程度是传统的自由手、导板种植很难达到的。
“创伤小、精度高,传统手术难度太大了!”毕主任和团队反复琢磨,先为赵先生制作了一副活动义齿调整,最后决定使用口腔种植机器人为赵先生进行半口种植牙手术。经过全面评估及沟通知情同意,毕主任团队为赵先生下颌区域“量身定制”了精准微创的种植方案,部分下颌牙拔除后在下颌区域即刻种植6枚种植体,且种植体准确植入到预计的三维位置,位置控制偏差不超过0.3mm。


手术开始,毕主任轻踩踏板发出指令,机器人机械臂自主进入患者口腔。在种植团队的密切监控下,机械臂按照术前精确规划完成了自动校准、进出口路径自动执行、自动跟踪下钻、自动提拉等手术程序,自主完成了种植窝洞预备和种植体植入等步骤,极大地简化了医生的手动操作。?
手术完成,毕主任笑着告诉赵先生:“特别顺利!种植体的植入位置与术前规划完全一致。机器人按照事先设置的标准路径进行操作,避免了常规种植手术中出现的人为视觉偏差和手动误差。此次手术后进行的CBCT检查显示,误差仅为0.2mm,精度非常高”。
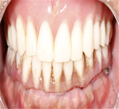
更让赵先生惊喜的是,手术一结束,团队成员立刻为赵先生取模,制作即刻义齿。赵先生试戴后表示十分满意,实现了当天拔牙、当天种牙、当天戴牙,当天使用。
从无法正常进食到轻松享用美食,从遮遮掩掩到自信开口,赵先生生活不再被牙齿问题困扰,重新找回了吃饭的幸福感,现在这种能自由享受美食、自在与人交流的状态,让他每天都觉得踏实又开心。?
黑龙江省口腔医院种植诊疗中心口腔种植机器人:
可实现种植手术的精准化、可视化与高效化操作,技术优势显著:
1.亚毫米级精准定位:依托三维数字化规划系统,可精准确定种植体的植入方向、角度及深度,显著优于传统手工种植操作,确保种植体长期稳定性。
2.实时可视化导航:手术全程通过高清影像系统实时显示颌骨解剖结构,可精准规避神经、血管等关键组织,降低术中出血、神经损伤等并发症风险,提升手术安全性。
3.高效化诊疗流程:相比传统种植手术,机器人辅助操作可缩短单例手术时长,且术后组织创伤更小,肿胀、疼痛等反应轻,患者恢复周期显著缩短。
黑龙江省口腔医院种植诊疗中心一直聚焦安全与高效,让优质口腔种植服务,离普通人的生活越来越近,让健康笑容触手可及。